What’s In the COVID Lung? - Dr. Ed Iannuccilli
Dr. Ed Iannuccilli, Contributor
What’s In the COVID Lung? - Dr. Ed Iannuccilli

When I think of the consequences of not paying attention, I recall an adult patient of mine, very sick with chickenpox . . . and I cringe.
I shudder with the image and the stark reality of how sick he was; a picture that has never left me. There was little we could do for him save for supportive measures such as comfort, hydration, supplemental calories, anticipate respiratory issues and a concurrent infection. Today’s COVID reawakens my cringing anxiety.
GET THE LATEST BREAKING NEWS HERE -- SIGN UP FOR GOLOCAL FREE DAILY EBLASTHe presented with fever, loss of appetite, headache, and a tender, itchy, pustular, rash everywhere on his body, including in the membranes of his eyes. The lesions in his opened mouth prevented him from speaking or swallowing. Some of the crusty blisters were scabbing, others were breaking and leaking. Unable to stand, he was dizzy, disoriented, and short of breath. He developed viral pneumonia.
Chickenpox infection is caused by the varicella virus. It can spread through direct contact with the rash or when a person with chickenpox coughs or sneezes and you inhale the air droplets (sound familiar?).
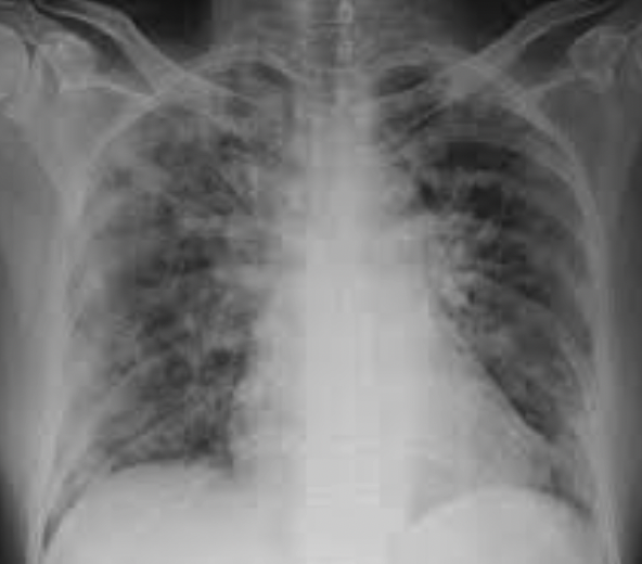
Since he had pneumonia, I pictured his lungs as a hotbed of inflammation harboring similar crusty, oozing lesions whose thick membranes and inflammatory exudate barricaded the transfer of oxygen to the bloodstream. The lungs' delicate, lace-like, elegant air sacs (alveoli) become fiery, inflamed, and thicken as they fill with fluid and pus. I’m sure you have seen pus. Think of it in your lungs.
A pathologist would report it as metaplasia (the conversion of one type of cell to another), large clots, organizing infection, heightened inflammation, cell death, and a significant reduction in the lung’s capacity to do its job. Fine, but the words crud, swamp, and devastation came to my mind. The phrase, “The pox is on(in) him,” surfaced as my patient gulped for air.
He survived, but barely. Today, as I recall his case, I picture those unfortunate COVID patients whose lungs are loaded with the same junk that barricades the transfer of lifesaving oxygen, much like my patient of years ago.
As with our COVID vaccines, the chickenpox vaccine is easy to give, safe, and effective. My patient, though he did not remember being vaccinated, was like today’s unvaccinated and sick with a COVID load; those unfortunates who are overwhelming our intensive care units.
If you have vaccine hesitancy or mask resentment, I ask you to picture the blisters of adult chickenpox and the lungs of the patients on the intensive care units. Would you want lungs that looked like that? I would guess not.
Get vaccinated. Pay attention.

